В Тульской области принудительно госпитализировали мужчину, который не хотел лечиться от туберкулеза и мог заразить других
Киреевская прокуратура провела проверку по информации центральной районной больницы о нарушении лицом санитарно-эпидемиологического режима.
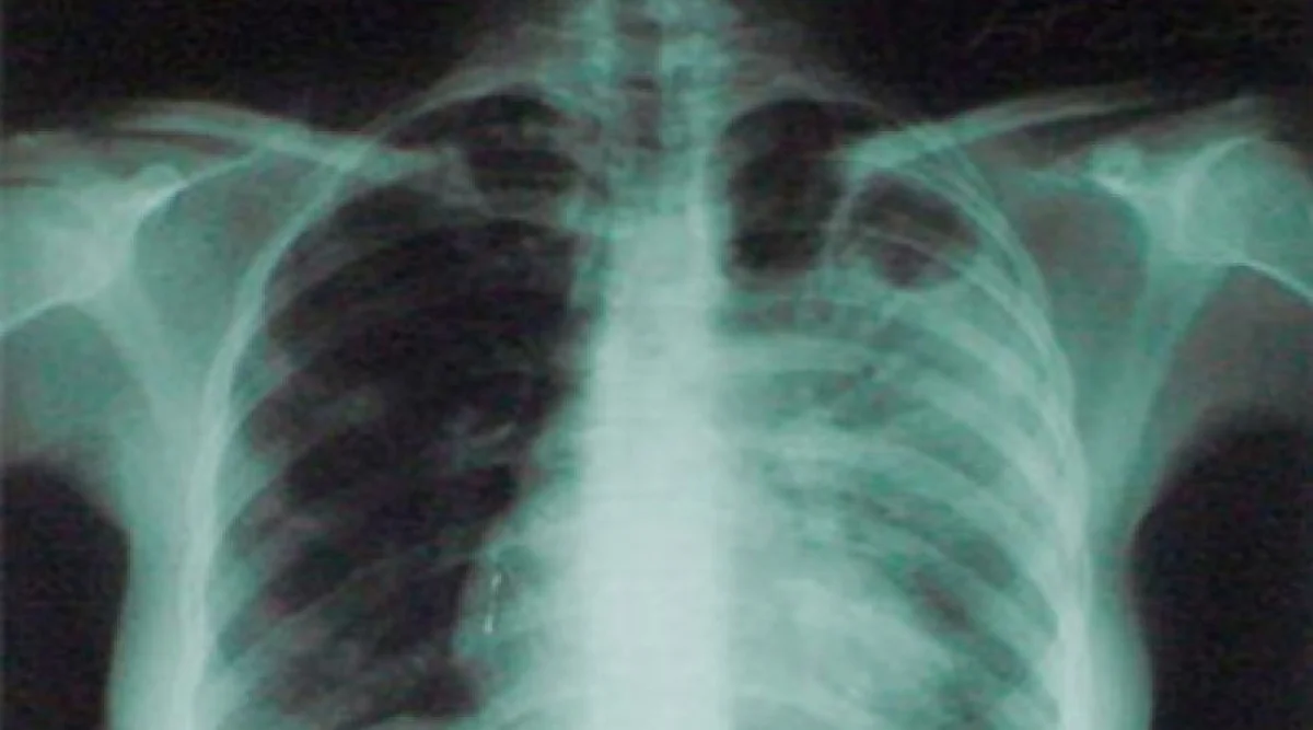
42-летний житель Киреевска состоит на учете в медчреждении с диагнозом – инфильтративный туберкулез легких. Заболевание развивается в активной форме, он запросто может заразить окружающих в ходе бытового общения. Однако, больной уклоняется от лечения и нарушает санитарно-эпидемиологический режим.
Прокуратура направила в суд заявление о госпитализации пациента в противотуберкулезную организацию в недобровольном порядке.
Самые интересные новости за день в нашем ВК
Перейти в
